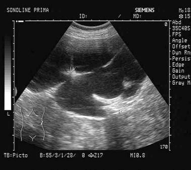
某患者左肾超声声像图如下,最可能的诊断为?(?)A.多发性肾囊肿B.肾结核C.多囊肾D.重度肾积水E.中度肾积水

作者: rantiku 人气: - 评论: 0
问题 某患者左肾超声声像图如下,最可能的诊断为?(?)
选项 A.多发性肾囊肿 B.肾结核 C.多囊肾 D.重度肾积水 E.中度肾积水
答案 D
解析

猜你喜欢

发表评论
更多 网友评论0 条评论)
暂无评论

访问排行

Copyright © 2012-2014 恰考网 Inc. 保留所有权利。 Powered by tikuer.com

页面耗时0.0546秒, 内存占用1.03 MB, Cache:redis,访问数据库20次