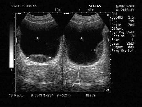
根据超声图像,该病例最可能诊断为?(?)A.膀胱结石B.膀胱血块C.膀胱异物D.膀胱肿瘤E.腺性膀胱炎

作者: rantiku 人气: - 评论: 0
问题 根据超声图像,该病例最可能诊断为?(?)
选项 A.膀胱结石 B.膀胱血块 C.膀胱异物 D.膀胱肿瘤 E.腺性膀胱炎
答案 B
解析

猜你喜欢

发表评论
更多 网友评论0 条评论)
暂无评论

访问排行

Copyright © 2012-2014 恰考网 Inc. 保留所有权利。 Powered by tikuer.com

页面耗时0.0294秒, 内存占用1.03 MB, Cache:redis,访问数据库17次