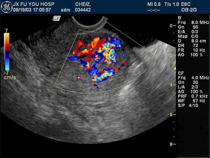
女性,36岁,行常规超声妇科体检。声像图表现如图。血HCG为2258μg/ml。最可能的诊断是?(?)A.绒癌B.子宫腺肌瘤C.早期妊娠D...

作者: rantiku 人气: - 评论: 0
问题 女性,36岁,行常规超声妇科体检。声像图表现如图。血HCG为2258μg/ml。最可能的诊断是?(?)
选项 A.绒癌 B.子宫腺肌瘤 C.早期妊娠 D.子宫肌瘤 E.良性葡萄胎
答案 A
解析

猜你喜欢

发表评论
更多 网友评论0 条评论)
暂无评论

访问排行

Copyright © 2012-2014 恰考网 Inc. 保留所有权利。 Powered by tikuer.com

页面耗时0.0347秒, 内存占用1.03 MB, Cache:redis,访问数据库18次