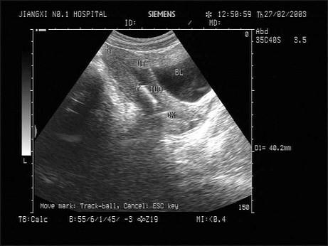
女性,43岁,因月经时间长就诊。超声检查如图,最可能的诊断为?(?)A.节育环下移B.子宫内膜癌C.子宫肌瘤D.宫腔残留E.子宫内膜钙化

作者: rantiku 人气: - 评论: 0
问题 女性,43岁,因月经时间长就诊。超声检查如图,最可能的诊断为?(?)
选项 A.节育环下移 B.子宫内膜癌 C.子宫肌瘤 D.宫腔残留 E.子宫内膜钙化
答案 A
解析

猜你喜欢

发表评论
更多 网友评论0 条评论)
暂无评论

访问排行

Copyright © 2012-2014 恰考网 Inc. 保留所有权利。 Powered by tikuer.com

页面耗时0.0320秒, 内存占用1.03 MB, Cache:redis,访问数据库15次