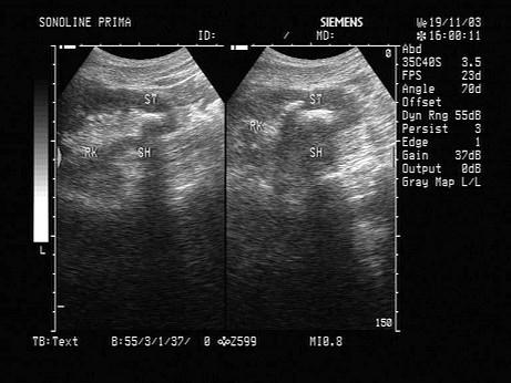
结合超声图像,该病例肾结石为哪一部位?(?)A.下极肾盏B.中极肾盏C.上极肾盏D.肾门E.肾乳头处

作者: rantiku 人气: - 评论: 0
问题 结合超声图像,该病例肾结石为哪一部位?(?)
选项 A.下极肾盏 B.中极肾盏 C.上极肾盏 D.肾门 E.肾乳头处
答案 A
解析

猜你喜欢

发表评论
更多 网友评论0 条评论)
暂无评论

访问排行

Copyright © 2012-2014 恰考网 Inc. 保留所有权利。 Powered by tikuer.com

页面耗时0.0463秒, 内存占用1.03 MB, Cache:redis,访问数据库18次