某患者因血尿就诊,下腹部声像图如图,根据图中表现及所标志的体位,最可能的超声诊断为?(?)A.前列腺增生并钙化B.膀胱结石C.膀胱癌D.前...

作者: rantiku 人气: - 评论: 0
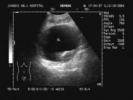
问题 某患者因血尿就诊,下腹部声像图如图,根据图中表现及所标志的体位,最可能的超声诊断为?(?)
选项 A.前列腺增生并钙化 B.膀胱结石 C.膀胱癌 D.前列腺癌 E.膀胱血块
答案 C
解析

猜你喜欢

发表评论
更多 网友评论0 条评论)
暂无评论

访问排行

Copyright © 2012-2014 恰考网 Inc. 保留所有权利。 Powered by tikuer.com

页面耗时0.1311秒, 内存占用1.03 MB, Cache:redis,访问数据库18次