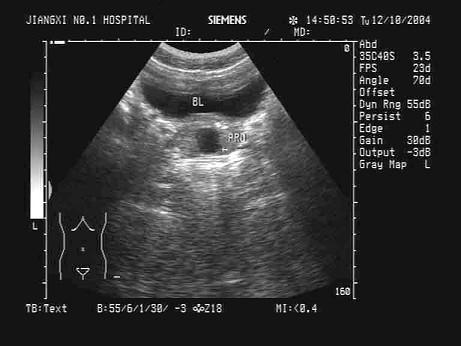
某患者下腹部声像图表现,根据箭头提示,最可能的诊断为?(?)A.前列腺囊肿B.膀胱憩室C.前列腺癌D.精液囊肿E.膀胱肿瘤

作者: rantiku 人气: - 评论: 0
问题 某患者下腹部声像图表现,根据箭头提示,最可能的诊断为?(?)
选项 A.前列腺囊肿 B.膀胱憩室 C.前列腺癌 D.精液囊肿 E.膀胱肿瘤
答案 A
解析

猜你喜欢

发表评论
更多 网友评论0 条评论)
暂无评论

访问排行

Copyright © 2012-2014 恰考网 Inc. 保留所有权利。 Powered by tikuer.com

页面耗时0.0620秒, 内存占用1.03 MB, Cache:redis,访问数据库19次