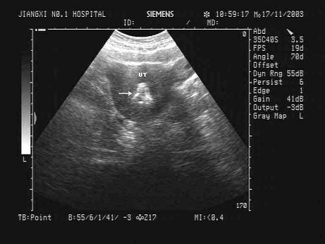
中年女性,中下腹横切面如图,箭头所示为?(?)A.子宫钙化环B.宫内节育器C.子宫肌瘤D.孕囊E.子宫肌瘤钙化

作者: rantiku 人气: - 评论: 0
问题 中年女性,中下腹横切面如图,箭头所示为?(?)
选项 A.子宫钙化环 B.宫内节育器 C.子宫肌瘤 D.孕囊 E.子宫肌瘤钙化
答案 B
解析

猜你喜欢

发表评论
更多 网友评论0 条评论)
暂无评论

访问排行

Copyright © 2012-2014 恰考网 Inc. 保留所有权利。 Powered by tikuer.com

页面耗时0.0355秒, 内存占用1.02 MB, Cache:redis,访问数据库13次