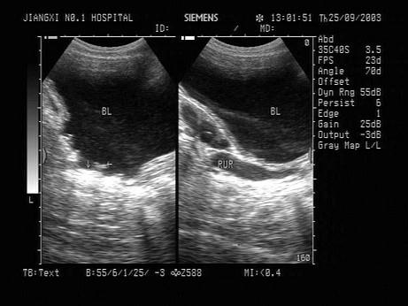
男性,有前列腺增生病史,膀胱出现如图的超声表现,最可能的诊断为?(?)A.膀胱血块B.膀胱肿瘤C.膀胱憩室D.膀胱小梁小房形成E.慢性膀胱炎

作者: rantiku 人气: - 评论: 0
问题 男性,有前列腺增生病史,膀胱出现如图的超声表现,最可能的诊断为?(?)
选项 A.膀胱血块 B.膀胱肿瘤 C.膀胱憩室 D.膀胱小梁小房形成 E.慢性膀胱炎
答案 D
解析

猜你喜欢

发表评论
更多 网友评论0 条评论)
暂无评论

访问排行

Copyright © 2012-2014 恰考网 Inc. 保留所有权利。 Powered by tikuer.com

页面耗时0.0711秒, 内存占用1.03 MB, Cache:redis,访问数据库20次