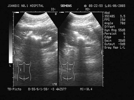
女性,出现腰痛并血尿3天,超声检查如图所示,该病例最可能诊断?(?)A.肾钙质沉积症B.肾结石C.肾内钙化灶D.肾窦灶性纤维化E.海绵肾
相关内容:女性,腰痛,血尿,超声,检查,如图,病例,可能,诊断,钙质,沉积,肾结石,肾内,肾窦,灶性,纤维,海绵
猜你喜欢
- 女性34岁,滑跌,右小腿出现疼痛,肿胀,稍有外旋畸形,足背感觉麻木,足趾不能背伸,但趾屈活动尚存在,X线片示右胫骨下1/3,腓骨颈骨折,出现的并发症最可能...
- 岩尖综合征表现为同侧面部疼痛或麻木,眼球内斜、复视,受累的脑神经有A.面神经B.听神经C.展神经D.三叉神经E.动眼神经
- 采用无间隙金属氧化物避雷器作为雷电过电压保护装置时,避雷器的持续运行电 压(相对地)在下面所列数据中,正确的是( )。
- 下列选项中,现金流量表有助于评价企业的( )。A.付现能力、经营能力和周转能力B.支付能力、经营能力和偿债能力C.付现能力、偿债能力和周转能力...
- (2016年)某建筑工程报告期各项费用构成和各单项价格指数如下表所示,则该工程的建筑安装工程造价指数为()。
A.0.995
B.0.996
C.0...
- 影响药物吸收的剂型因素A.肾小球过滤
B.血脑屏障
C.胃排空与胃肠蠕动
D.药物在胃肠道中的稳定性
E.首过效应
- 曳引式电梯设备进场验收合格后,在驱动主机安装前的工序是( )。A.土建交接检验 B.导轨安装 C.对重安装 D.安全部件安装
- 患者,女,41岁,反复发作心悸6年有余。本次因劳累而心悸不安,胸闷,心痛时作,如针刺,伴神疲乏力,头晕目眩,倒忘失眠,盗汗潮热,口唇青紫,舌暗紫有瘀斑,少...
- 对于政府直接投资的项目,政府的要求和期望不包括( )。 A.质量合格
B.松弛的工作进度
C.投资适当
D.符合国家规划
- 下列有关脂酸合成的叙述错误的是A.脂酸合成酶系存在于胞液中 B.生物素是参与合成的辅助因子之一C.合成时需要NADPH D.合成过程中不消耗ATP E...