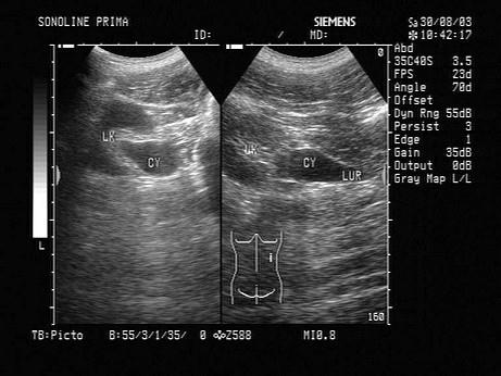
超声检查如图所示,该病例最可能诊断?(?)A.肾外肾盂扩张B.肾积水C.输尿管上段积水D.肾盂输尿管狭窄E.输尿管畸形

作者: rantiku 人气: - 评论: 0
问题 超声检查如图所示,该病例最可能诊断?(?)
选项 A.肾外肾盂扩张 B.肾积水 C.输尿管上段积水 D.肾盂输尿管狭窄 E.输尿管畸形
答案 A
解析

猜你喜欢

发表评论
更多 网友评论0 条评论)
暂无评论

访问排行

Copyright © 2012-2014 恰考网 Inc. 保留所有权利。 Powered by tikuer.com

页面耗时0.0457秒, 内存占用1.03 MB, Cache:redis,访问数据库19次