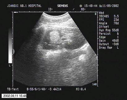
超声检查如图所示,该病例最可能诊断?(?)A.肥大肾柱B.肾脏局灶性炎症C.肾脏肿瘤D.肾脏错构瘤E.肾脏脂肪瘤

作者: rantiku 人气: - 评论: 0
问题 超声检查如图所示,该病例最可能诊断?(?)
选项 A.肥大肾柱 B.肾脏局灶性炎症 C.肾脏肿瘤 D.肾脏错构瘤 E.肾脏脂肪瘤
答案 D
解析

猜你喜欢

发表评论
更多 网友评论0 条评论)
暂无评论

访问排行

Copyright © 2012-2014 恰考网 Inc. 保留所有权利。 Powered by tikuer.com

页面耗时0.0417秒, 内存占用1.03 MB, Cache:redis,访问数据库15次