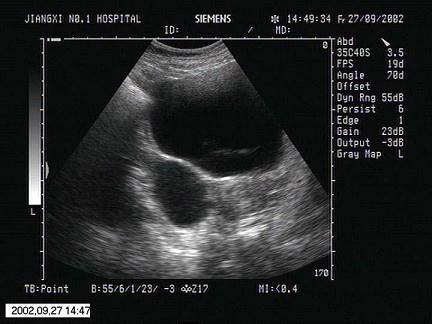
女性,25岁,停经43天,尿妊娠试验阳性。结合超声图像,最可能的诊断为?(?)A.黄体囊肿B.囊腺瘤C.附件炎性包块D.黄素囊肿E.巧...

作者: rantiku 人气: - 评论: 0
问题 女性,25岁,停经43天,尿妊娠试验阳性。结合超声图像,最可能的诊断为?(?)
选项 A.黄体囊肿 B.囊腺瘤 C.附件炎性包块 D.黄素囊肿 E.巧克力囊肿
答案 A
解析

猜你喜欢

发表评论
更多 网友评论0 条评论)
暂无评论

访问排行

Copyright © 2012-2014 恰考网 Inc. 保留所有权利。 Powered by tikuer.com

页面耗时0.0474秒, 内存占用1.03 MB, Cache:redis,访问数据库15次