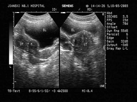
女性,43岁,因月经量多,经期时间长,月经周期短就诊。体检:子宫体积大,表面不平整。结合超声图像,最可能的诊断为?(?)A.子宫内膜癌B.宫颈癌 ...

作者: rantiku 人气: - 评论: 0
问题 女性,43岁,因月经量多,经期时间长,月经周期短就诊。体检:子宫体积大,表面不平整。结合超声图像,最可能的诊断为?(?)
选项 A.子宫内膜癌 B.宫颈癌 C.多发性子宫肌瘤 D.葡萄胎 E.子宫腺肌瘤
答案 C
解析

猜你喜欢

发表评论
更多 网友评论0 条评论)
暂无评论

访问排行

Copyright © 2012-2014 恰考网 Inc. 保留所有权利。 Powered by tikuer.com

页面耗时0.0557秒, 内存占用1.03 MB, Cache:redis,访问数据库20次