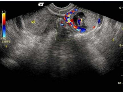
女性,25岁,停经47天,阴道不规则出血1周。尿妊娠试验阳性。结合超声图像,最可能的诊断为?(?)A.附件炎性包块B.宫外孕C.卵巢癌D....

作者: rantiku 人气: - 评论: 0
问题 女性,25岁,停经47天,阴道不规则出血1周。尿妊娠试验阳性。结合超声图像,最可能的诊断为?(?)
选项 A.附件炎性包块 B.宫外孕 C.卵巢癌 D.子宫肌瘤 E.畸胎瘤
答案 B
解析

猜你喜欢

发表评论
更多 网友评论0 条评论)
暂无评论

访问排行

Copyright © 2012-2014 恰考网 Inc. 保留所有权利。 Powered by tikuer.com

页面耗时0.0420秒, 内存占用1.03 MB, Cache:redis,访问数据库20次