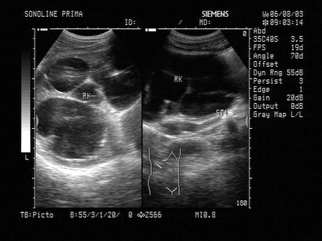
根据超声图像所示,判断致病人肾脏积水的梗阻在输尿管哪一段?(?)A.下段B.中段C.上段D.膀胱内E.肾盂内

作者: rantiku 人气: - 评论: 0
问题 根据超声图像所示,判断致病人肾脏积水的梗阻在输尿管哪一段?(?)
选项 A.下段 B.中段 C.上段 D.膀胱内 E.肾盂内
答案 C
解析

猜你喜欢

发表评论
更多 网友评论0 条评论)
暂无评论

访问排行

Copyright © 2012-2014 恰考网 Inc. 保留所有权利。 Powered by tikuer.com

页面耗时0.0366秒, 内存占用1.03 MB, Cache:redis,访问数据库18次