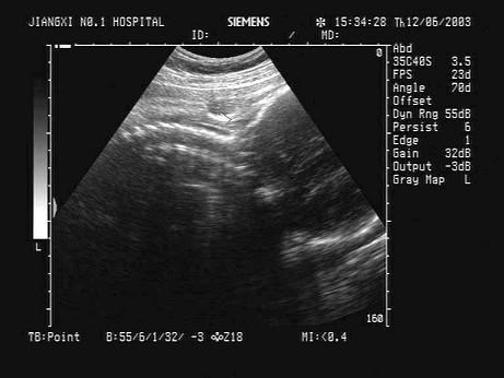
某胎儿超声声像图如下,最可能的诊断为?(?)A.脐带绕颈1周B.脐带绕颈2周C.脑积水D.正常声像图E.脐带绕颈3周

作者: rantiku 人气: - 评论: 0
问题 某胎儿超声声像图如下,最可能的诊断为?(?)
选项 A.脐带绕颈1周 B.脐带绕颈2周 C.脑积水 D.正常声像图 E.脐带绕颈3周
答案 A
解析

猜你喜欢

发表评论
更多 网友评论0 条评论)
暂无评论

访问排行

Copyright © 2012-2014 恰考网 Inc. 保留所有权利。 Powered by tikuer.com

页面耗时0.0788秒, 内存占用1.03 MB, Cache:redis,访问数据库17次