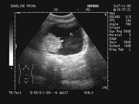
男性,60岁,排尿不适,无痛性血尿,膀胱声像图如图,根据图中表现及所标志的体位,最可能的超声诊断为?(?)A.膀胱息肉B.膀胱结石C.膀胱癌 ...

作者: rantiku 人气: - 评论: 0
问题 男性,60岁,排尿不适,无痛性血尿,膀胱声像图如图,根据图中表现及所标志的体位,最可能的超声诊断为?(?)
选项 A.膀胱息肉 B.膀胱结石 C.膀胱癌 D.膀胱血块 E.前列腺癌
答案 C
解析

猜你喜欢

发表评论
更多 网友评论0 条评论)
暂无评论

访问排行

Copyright © 2012-2014 恰考网 Inc. 保留所有权利。 Powered by tikuer.com

页面耗时0.0489秒, 内存占用1.03 MB, Cache:redis,访问数据库19次