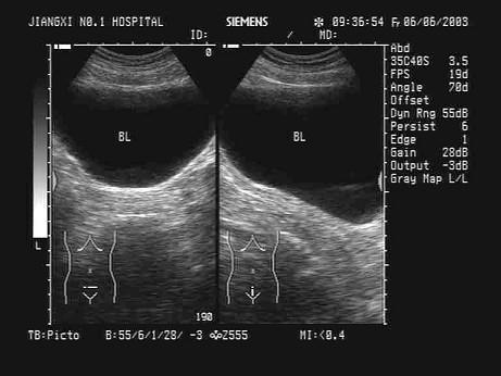
某患者膀胱内超声声像图如下,最可能的诊断为?(?)A.膀胱癌B.正常膀胱C.膀胱结石D.膀胱炎E.膀胱憩室

作者: rantiku 人气: - 评论: 0
问题 某患者膀胱内超声声像图如下,最可能的诊断为?(?)
选项 A.膀胱癌 B.正常膀胱 C.膀胱结石 D.膀胱炎 E.膀胱憩室
答案 B
解析

猜你喜欢

发表评论
更多 网友评论0 条评论)
暂无评论

访问排行

Copyright © 2012-2014 恰考网 Inc. 保留所有权利。 Powered by tikuer.com

页面耗时0.0445秒, 内存占用1.03 MB, Cache:redis,访问数据库20次