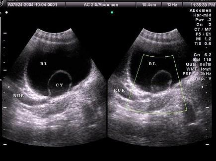
女性,于膀胱输尿管位置见一囊性光团,有规律收缩,增大。如图所示,考虑为 ?(?)A.膀胱肿瘤B.膀胱憩室C.输尿管结石D.输尿管囊肿E...

作者: rantiku 人气: - 评论: 0
问题 女性,于膀胱输尿管位置见一囊性光团,有规律收缩,增大。如图所示,考虑为 ?(?)
选项 A.膀胱肿瘤 B.膀胱憩室 C.输尿管结石 D.输尿管囊肿 E.膀胱异物
答案 D
解析

猜你喜欢

发表评论
更多 网友评论0 条评论)
暂无评论

访问排行

Copyright © 2012-2014 恰考网 Inc. 保留所有权利。 Powered by tikuer.com

页面耗时0.0372秒, 内存占用1.03 MB, Cache:redis,访问数据库20次