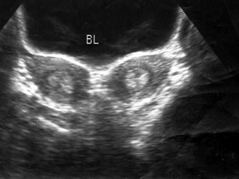
盆腔超声检查如图,最可能的诊断是?(?)A.幼稚子宫B.双子宫C.双角子宫D.畸胎瘤E.正常声像图
相关内容:盆腔,超声,检查,如图,可能,诊断,子宫,畸胎
猜你喜欢
- 石质路堑常用的爆破方法包括(
)A.微差爆破
B.预裂爆破
C.光面爆破
D.深孔爆破
E.定向爆破
- 颌位关系的记录指的是A.正确恢复颌间距离
B.正确恢复面下1/3距离
C.正确恢复面下1/3距离和髁突的生理后位
D.正确恢复面部的外形
E.纠正...
- 男,60岁。间断发热2周,尿黄伴乏力、纳差1周,症状逐渐加重,出现恶心、呕吐,既往体健,无肝病史,病前无饮酒、服药史,病前3周曾去外地旅游。査体:神志清楚...
- 设备采购文件编制原则包括( )。A.按效率
B.按公开
C.求节约
D.有依据
E.按程序
- 尿路感染的临床表现,不正确的是A.膀胱炎占60%以上B.膀胱炎以尿路刺激征为主要表现C.急性肾盂肾炎以育龄期妇女最多见D.肾盂肾炎不易出现寒战...
- 在绩效评价中.评价者对评价对象的看法往往受到评价对象所属群体的影响,这种现象称为().A:趋中倾向
B:刻板印象
C:晕轮效应
D:近因效应
- 既能活血定痛又能化瘀止血的是A:小蓟B:茜草C:蒲黄D:侧柏叶E:三七
- 女,17岁,疲乏无力,心烦易怒,怕热多汗半年,易 饿,体重下降11公斤,月经量减少,经期仅1-2天,查 体:P140/70mmHg,皮肤微潮,手有细颤,轻...
- A.川芎B.郁金C.延胡索D.乳香E.五灵脂活血止痛,兼行气解郁、利胆的药物为
- 流行性腮腺炎少见的并发症是A.中耳炎B.脑膜脑炎C.胰腺炎D.睾丸炎E.卵巢炎