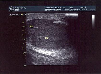
某患者阴囊部疼痛不适,超声声像图如下,最可能的诊断为?(?)A.附睾炎B.睾丸炎C.睾丸肿瘤D.附睾结核E.附睾肿瘤

作者: rantiku 人气: - 评论: 0
问题 某患者阴囊部疼痛不适,超声声像图如下,最可能的诊断为?(?)
选项 A.附睾炎 B.睾丸炎 C.睾丸肿瘤 D.附睾结核 E.附睾肿瘤
答案 A
解析

猜你喜欢

发表评论
更多 网友评论0 条评论)
暂无评论

访问排行

Copyright © 2012-2014 恰考网 Inc. 保留所有权利。 Powered by tikuer.com

页面耗时0.0399秒, 内存占用1.03 MB, Cache:redis,访问数据库14次