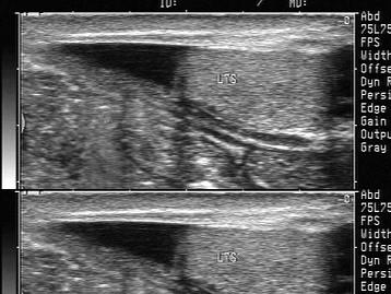
男性,阴囊肿大,于右侧腹股沟见一混杂回声光团,探头压可回纳腹腔。如图所示,考虑为 ?(?)A.隐睾B.腹股沟斜疝C.精原细胞瘤D.睾丸脓肿...

作者: rantiku 人气: - 评论: 0
问题 男性,阴囊肿大,于右侧腹股沟见一混杂回声光团,探头压可回纳腹腔。如图所示,考虑为 ?(?)
选项 A.隐睾 B.腹股沟斜疝 C.精原细胞瘤 D.睾丸脓肿 E.以上都不是
答案 B
解析

猜你喜欢

发表评论
更多 网友评论0 条评论)
暂无评论

访问排行

Copyright © 2012-2014 恰考网 Inc. 保留所有权利。 Powered by tikuer.com

页面耗时0.0350秒, 内存占用1.03 MB, Cache:redis,访问数据库19次