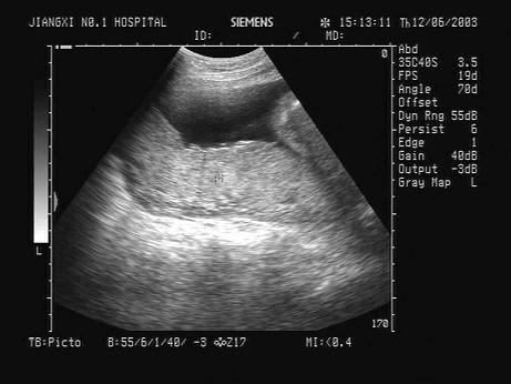
根据超声声像图,提示结构为?(?)A.脐带B.胎盘C.胎儿躯干D.胎儿臀部E.子宫肌层

作者: rantiku 人气: - 评论: 0
问题 根据超声声像图,提示结构为?(?)
选项 A.脐带 B.胎盘 C.胎儿躯干 D.胎儿臀部 E.子宫肌层
答案 B
解析

猜你喜欢

发表评论
更多 网友评论0 条评论)
暂无评论

访问排行

Copyright © 2012-2014 恰考网 Inc. 保留所有权利。 Powered by tikuer.com

页面耗时0.0474秒, 内存占用1.03 MB, Cache:redis,访问数据库20次