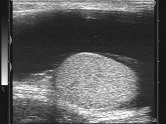
某患者阴囊超声声像图如下,最可能的诊断为?(?)A.睾丸鞘膜积液B.精索鞘膜积液C.阴囊水肿D.附睾囊肿E.交通性鞘摸积液

作者: rantiku 人气: - 评论: 0
问题 某患者阴囊超声声像图如下,最可能的诊断为?(?)
选项 A.睾丸鞘膜积液 B.精索鞘膜积液 C.阴囊水肿 D.附睾囊肿 E.交通性鞘摸积液
答案 A
解析

猜你喜欢

发表评论
更多 网友评论0 条评论)
暂无评论

访问排行

Copyright © 2012-2014 恰考网 Inc. 保留所有权利。 Powered by tikuer.com

页面耗时0.0475秒, 内存占用1.03 MB, Cache:redis,访问数据库20次