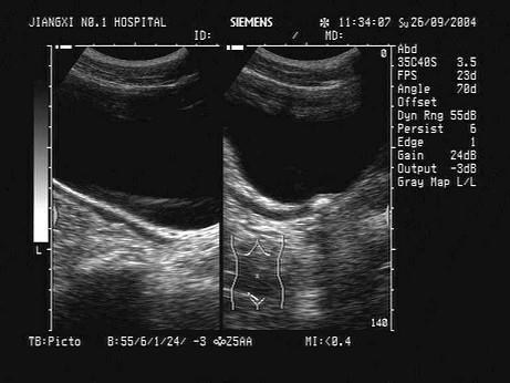
某患者右下腹痛,血尿,根据超声声像图,最可能的诊断为?(?)A.右肾结石B.右输尿管下段结石C.阑尾炎D.膀胱结石E.输尿管肿瘤

作者: rantiku 人气: - 评论: 0
问题 某患者右下腹痛,血尿,根据超声声像图,最可能的诊断为?(?)
选项 A.右肾结石 B.右输尿管下段结石 C.阑尾炎 D.膀胱结石 E.输尿管肿瘤
答案 B
解析

猜你喜欢

发表评论
更多 网友评论0 条评论)
暂无评论

访问排行

Copyright © 2012-2014 恰考网 Inc. 保留所有权利。 Powered by tikuer.com

页面耗时0.0663秒, 内存占用1.03 MB, Cache:redis,访问数据库18次