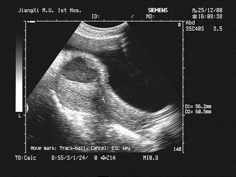
女性,44岁,取环术后下腹疼痛1天。B超检查如图,最可能的诊断为?(?)A.子宫血肿B.盆腔血肿C.子宫肌瘤D.子宫腺肌瘤E.肌瘤囊变

作者: rantiku 人气: - 评论: 0
问题 女性,44岁,取环术后下腹疼痛1天。B超检查如图,最可能的诊断为?(?)
选项 A.子宫血肿 B.盆腔血肿 C.子宫肌瘤 D.子宫腺肌瘤 E.肌瘤囊变
答案 A
解析

猜你喜欢

发表评论
更多 网友评论0 条评论)
暂无评论

访问排行

Copyright © 2012-2014 恰考网 Inc. 保留所有权利。 Powered by tikuer.com

页面耗时0.0365秒, 内存占用1.03 MB, Cache:redis,访问数据库20次