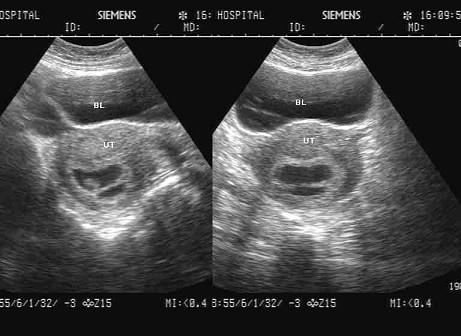
女,23岁,停经45天,阴道无异常分泌物,子宫附件声像图如下,图中所示为?(?)A.正常早孕孕囊及胚外体腔B.双胎妊娠双孕囊C.难免流产D...

作者: rantiku 人气: - 评论: 0
问题 女,23岁,停经45天,阴道无异常分泌物,子宫附件声像图如下,图中所示为?(?)
选项 A.正常早孕孕囊及胚外体腔 B.双胎妊娠双孕囊 C.难免流产 D.子宫肌瘤 E.早孕并宫腔积液
答案 A
解析

猜你喜欢

发表评论
更多 网友评论0 条评论)
暂无评论

访问排行

Copyright © 2012-2014 恰考网 Inc. 保留所有权利。 Powered by tikuer.com

页面耗时0.0547秒, 内存占用1.03 MB, Cache:redis,访问数据库20次