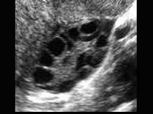
女性,月经过少,不孕就诊,超声图像可提示?(?)A.多囊卵巢B.卵泡发育不良C.卵巢巧克力囊肿D.正常卵巢E.以上都不是

作者: rantiku 人气: - 评论: 0
问题 女性,月经过少,不孕就诊,超声图像可提示?(?)
选项 A.多囊卵巢 B.卵泡发育不良 C.卵巢巧克力囊肿 D.正常卵巢 E.以上都不是
答案 A
解析

猜你喜欢

发表评论
更多 网友评论0 条评论)
暂无评论

访问排行

Copyright © 2012-2014 恰考网 Inc. 保留所有权利。 Powered by tikuer.com

页面耗时0.0375秒, 内存占用1.03 MB, Cache:redis,访问数据库19次