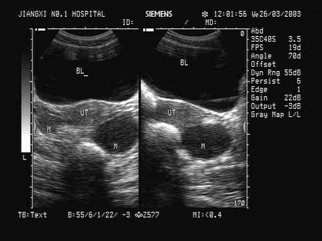
某女患者子宫附件超声声像图如下,患者月经正常,有痛经及人流史,月经后7天检查。根据病史和图像,最可能的诊断为?(?)A.巧克力囊肿B.滤泡囊肿...

作者: rantiku 人气: - 评论: 0
问题 某女患者子宫附件超声声像图如下,患者月经正常,有痛经及人流史,月经后7天检查。根据病史和图像,最可能的诊断为?(?)
选项 A.巧克力囊肿 B.滤泡囊肿 C.黄体囊肿 D.黄素囊肿 E.正常卵泡
答案 A
解析

猜你喜欢

发表评论
更多 网友评论0 条评论)
暂无评论

访问排行

Copyright © 2012-2014 恰考网 Inc. 保留所有权利。 Powered by tikuer.com

页面耗时0.0719秒, 内存占用1.03 MB, Cache:redis,访问数据库18次