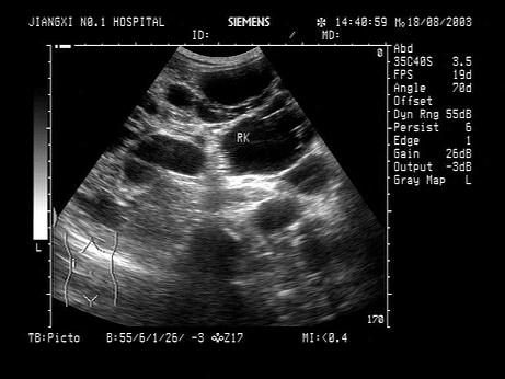
男,有高血压病史,腰部触及包块,超声检查如图所示,最可能的诊断是?(?)A.肾重度积水B.多发性肾囊肿C.多囊肾D.肾多囊性发育异常E...

作者: rantiku 人气: - 评论: 0
问题 男,有高血压病史,腰部触及包块,超声检查如图所示,最可能的诊断是?(?)
选项 A.肾重度积水 B.多发性肾囊肿 C.多囊肾 D.肾多囊性发育异常 E.肾脓肿
答案 C
解析

猜你喜欢

发表评论
更多 网友评论0 条评论)
暂无评论

访问排行

Copyright © 2012-2014 恰考网 Inc. 保留所有权利。 Powered by tikuer.com

页面耗时0.0427秒, 内存占用1.03 MB, Cache:redis,访问数据库20次