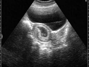
超声检查如图,孕囊内光环样结构为?(?)A.胚芽B.羊膜囊C.卵黄囊D.脐带E.胎儿

作者: rantiku 人气: - 评论: 0
问题 超声检查如图,孕囊内光环样结构为?(?)
选项 A.胚芽 B.羊膜囊 C.卵黄囊 D.脐带 E.胎儿
答案 C
解析

猜你喜欢

发表评论
更多 网友评论0 条评论)
暂无评论

访问排行

Copyright © 2012-2014 恰考网 Inc. 保留所有权利。 Powered by tikuer.com

页面耗时0.0441秒, 内存占用1.03 MB, Cache:redis,访问数据库20次