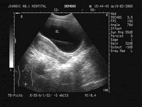
女,16岁,有性生活史,因停经35天。根据B超检查声像图如下,合理的超声诊断意见为?(?)A.动态观察B.早孕C.宫外孕可能,建议经阴道超声检...

作者: rantiku 人气: - 评论: 0
问题 女,16岁,有性生活史,因停经35天。根据B超检查声像图如下,合理的超声诊断意见为?(?)
选项 A.动态观察 B.早孕 C.宫外孕可能,建议经阴道超声检查 D.抗感染治疗 E.内膜过度增生
答案 A
解析

猜你喜欢

发表评论
更多 网友评论0 条评论)
暂无评论

访问排行

Copyright © 2012-2014 恰考网 Inc. 保留所有权利。 Powered by tikuer.com

页面耗时0.0391秒, 内存占用1.03 MB, Cache:redis,访问数据库20次