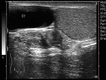
鞘膜积液分四种,如图所示为哪种?(?)A.睾丸鞘膜积液B.精索鞘膜积液C.睾丸精索鞘膜积液D.交通性鞘膜积液E.以上都不是

作者: rantiku 人气: - 评论: 0
问题 鞘膜积液分四种,如图所示为哪种?(?)
选项 A.睾丸鞘膜积液 B.精索鞘膜积液 C.睾丸精索鞘膜积液 D.交通性鞘膜积液 E.以上都不是
答案 B
解析

猜你喜欢

发表评论
更多 网友评论0 条评论)
暂无评论

访问排行

Copyright © 2012-2014 恰考网 Inc. 保留所有权利。 Powered by tikuer.com

页面耗时0.0370秒, 内存占用1.03 MB, Cache:redis,访问数据库19次