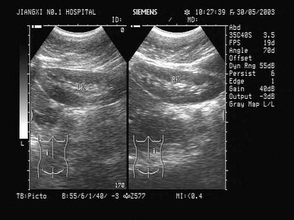
哪一类扫查可以显示以上肾脏图形?(?)A.横向扫查B.经肝纵向扫查C.肋缘下斜行扫查D.背部纵向扫查E.经侧腰部冠状扫查

作者: rantiku 人气: - 评论: 0
问题 哪一类扫查可以显示以上肾脏图形?(?)
选项 A.横向扫查 B.经肝纵向扫查 C.肋缘下斜行扫查 D.背部纵向扫查 E.经侧腰部冠状扫查
答案 D
解析

猜你喜欢

发表评论
更多 网友评论0 条评论)
暂无评论

访问排行

Copyright © 2012-2014 恰考网 Inc. 保留所有权利。 Powered by tikuer.com

页面耗时0.0319秒, 内存占用1.03 MB, Cache:redis,访问数据库18次