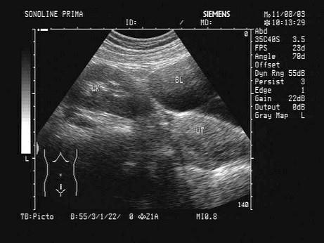
根据超声声像图,提示为?(?)A.肾下垂B.肾发育不良C.异位肾D.马蹄肾E.游走肾

作者: rantiku 人气: - 评论: 0
问题 根据超声声像图,提示为?(?)
选项 A.肾下垂 B.肾发育不良 C.异位肾 D.马蹄肾 E.游走肾
答案 C
解析

猜你喜欢

发表评论
更多 网友评论0 条评论)
暂无评论

访问排行

Copyright © 2012-2014 恰考网 Inc. 保留所有权利。 Powered by tikuer.com

页面耗时0.0409秒, 内存占用1.03 MB, Cache:redis,访问数据库18次