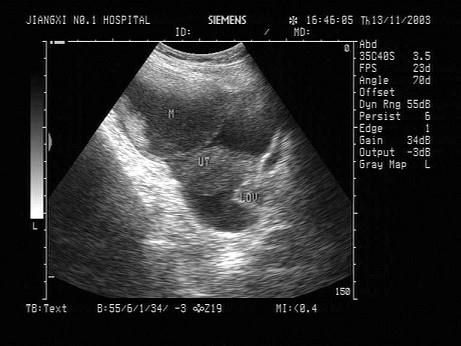
女性,56岁,消瘦、腹部膨隆3月余。妇科检查:盆腔触及包块。超声检查如图,最可能的诊断为?(?)A.转移性卵巢癌B.囊腺癌C.黄体囊肿D....

作者: rantiku 人气: - 评论: 0
问题 女性,56岁,消瘦、腹部膨隆3月余。妇科检查:盆腔触及包块。超声检查如图,最可能的诊断为?(?)
选项 A.转移性卵巢癌 B.囊腺癌 C.黄体囊肿 D.黄素囊肿 E.囊腺瘤
答案 B
解析

猜你喜欢

发表评论
更多 网友评论0 条评论)
暂无评论
错误啦!

错误信息

  • 消息: [程序异常] : MISCONF Redis is configured to save RDB snapshots, but it's currently unable to persist to disk. Commands that may modify the data set are disabled, because this instance is configured to report errors during writes if RDB snapshotting fails (stop-writes-on-bgsave-error option). Please check the Redis logs for details about the RDB error.
  • 文件: /twcms/kongphp/cache/cache_redis.class.php
  • 位置: 第 85 行
    <?php echo 'KongPHP, Road to Jane.'; ?>