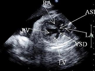
胎儿心脏超声检查如图,最可能的诊断是?(?)A.法四B.右心发育不良综合征C.左心发育不良综合征D.心内膜垫缺损E.大动脉换位(TGA)

作者: rantiku 人气: - 评论: 0
问题 胎儿心脏超声检查如图,最可能的诊断是?(?)
选项 A.法四 B.右心发育不良综合征 C.左心发育不良综合征 D.心内膜垫缺损 E.大动脉换位(TGA)
答案 D
解析
发表评论
更多 网友评论0 条评论)
暂无评论
错误啦!

错误信息

  • 消息: [程序异常] : MISCONF Redis is configured to save RDB snapshots, but it's currently unable to persist to disk. Commands that may modify the data set are disabled, because this instance is configured to report errors during writes if RDB snapshotting fails (stop-writes-on-bgsave-error option). Please check the Redis logs for details about the RDB error.
  • 文件: /twcms/kongphp/cache/cache_redis.class.php
  • 位置: 第 85 行
    <?php echo 'KongPHP, Road to Jane.'; ?>