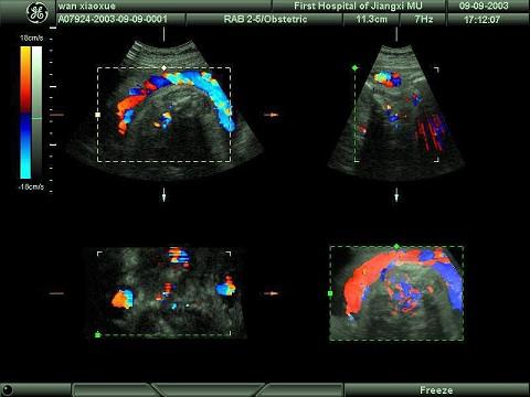
某孕妇胎儿颈部可探及下列图像,最可能的诊断为?(?)A.脐带绕颈B.胎盘早剥C.先天畸形D.正常结构E.脐带搭颈

作者: rantiku 人气: - 评论: 0
问题 某孕妇胎儿颈部可探及下列图像,最可能的诊断为?(?)
选项 A.脐带绕颈 B.胎盘早剥 C.先天畸形 D.正常结构 E.脐带搭颈
答案 A
解析

猜你喜欢

发表评论
更多 网友评论0 条评论)
暂无评论
错误啦!

错误信息

  • 消息: [程序异常] : MISCONF Redis is configured to save RDB snapshots, but it's currently unable to persist to disk. Commands that may modify the data set are disabled, because this instance is configured to report errors during writes if RDB snapshotting fails (stop-writes-on-bgsave-error option). Please check the Redis logs for details about the RDB error.
  • 文件: /twcms/kongphp/cache/cache_redis.class.php
  • 位置: 第 85 行
    <?php echo 'KongPHP, Road to Jane.'; ?>