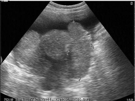
女性,39岁,胃癌术后。妇科检查:两附件区触及包块。超声检查如图,最可能的诊断为?(?)A.囊腺癌B.囊腺瘤C.黄体囊肿D.转移性卵巢癌 ...

作者: rantiku 人气: - 评论: 0
问题 女性,39岁,胃癌术后。妇科检查:两附件区触及包块。超声检查如图,最可能的诊断为?(?)
选项 A.囊腺癌 B.囊腺瘤 C.黄体囊肿 D.转移性卵巢癌 E.无性细胞瘤
答案 D
解析

猜你喜欢

发表评论
更多 网友评论0 条评论)
暂无评论

访问排行

Copyright © 2012-2014 恰考网 Inc. 保留所有权利。 Powered by tikuer.com

页面耗时0.0351秒, 内存占用1.03 MB, Cache:redis,访问数据库20次