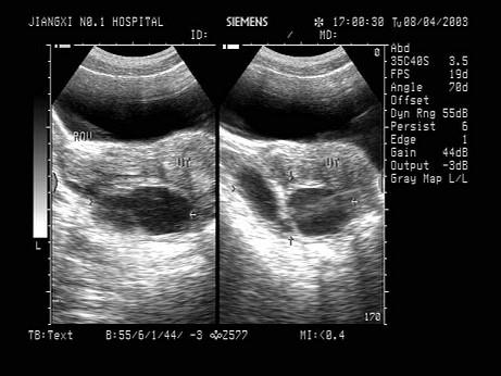
女性,40岁,反复下腹部疼痛、白带异常3年余。超声检查如图,最可能的诊断为?(?)A.输卵管积液B.囊腺瘤C.畸胎瘤D.子宫肌瘤E.附件囊肿

作者: rantiku 人气: - 评论: 0
问题 女性,40岁,反复下腹部疼痛、白带异常3年余。超声检查如图,最可能的诊断为?(?)
选项 A.输卵管积液 B.囊腺瘤 C.畸胎瘤 D.子宫肌瘤 E.附件囊肿
答案 A
解析

猜你喜欢

发表评论
更多 网友评论0 条评论)
暂无评论

访问排行

Copyright © 2012-2014 恰考网 Inc. 保留所有权利。 Powered by tikuer.com

页面耗时0.0415秒, 内存占用1.03 MB, Cache:redis,访问数据库19次