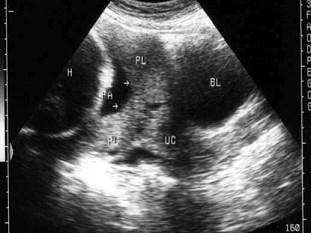
女,25岁,停经37周,阴道不规则出血来院就诊,B超检查声像图如图所示,最可能的诊断为?(?)A.胎盘早剥B.前置胎盘C.副胎盘D.胎膜破...

作者: rantiku 人气: - 评论: 0
问题 女,25岁,停经37周,阴道不规则出血来院就诊,B超检查声像图如图所示,最可能的诊断为?(?)
选项 A.胎盘早剥 B.前置胎盘 C.副胎盘 D.胎膜破裂 E.以上都不是
答案 B
解析

猜你喜欢

发表评论
更多 网友评论0 条评论)
暂无评论

访问排行

Copyright © 2012-2014 恰考网 Inc. 保留所有权利。 Powered by tikuer.com

页面耗时0.0986秒, 内存占用1.03 MB, Cache:redis,访问数据库19次