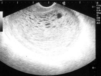
女,24岁,停经2月余阴道不规则出血数日,阴式B超检查,如图所示,最可能的诊断为?(?)A.早孕B.葡萄胎C.绒癌D.宫内积血块E.畸胎瘤

作者: rantiku 人气: - 评论: 0
问题 女,24岁,停经2月余阴道不规则出血数日,阴式B超检查,如图所示,最可能的诊断为?(?)
选项 A.早孕 B.葡萄胎 C.绒癌 D.宫内积血块 E.畸胎瘤
答案 B
解析

猜你喜欢

发表评论
更多 网友评论0 条评论)
暂无评论
错误啦!

错误信息

  • 消息: [程序异常] : MISCONF Redis is configured to save RDB snapshots, but it's currently unable to persist to disk. Commands that may modify the data set are disabled, because this instance is configured to report errors during writes if RDB snapshotting fails (stop-writes-on-bgsave-error option). Please check the Redis logs for details about the RDB error.
  • 文件: /twcms/kongphp/cache/cache_redis.class.php
  • 位置: 第 85 行
    <?php echo 'KongPHP, Road to Jane.'; ?>