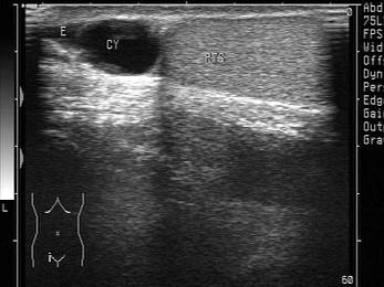
超声于左侧附睾头可探及圆形的无回声暗区,边清。如图所示,考虑为?(?)A.附睾头囊肿B.附睾附件C.睾丸囊肿D.附睾尾囊肿E.精索鞘膜积液

作者: rantiku 人气: - 评论: 0
问题 超声于左侧附睾头可探及圆形的无回声暗区,边清。如图所示,考虑为?(?)
选项 A.附睾头囊肿 B.附睾附件 C.睾丸囊肿 D.附睾尾囊肿 E.精索鞘膜积液
答案 A
解析

猜你喜欢

发表评论
更多 网友评论0 条评论)
暂无评论

访问排行

Copyright © 2012-2014 恰考网 Inc. 保留所有权利。 Powered by tikuer.com

页面耗时0.0348秒, 内存占用1.03 MB, Cache:redis,访问数据库15次