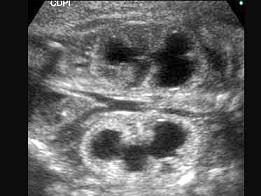
图为孕34周的胎儿声像表现。根据图像特点,最可能的诊断为 ?(?)A.多囊肾B.肾积水C.肾囊肿D.肾肿瘤E.以上都不是

作者: rantiku 人气: - 评论: 0
问题 图为孕34周的胎儿声像表现。根据图像特点,最可能的诊断为 ?(?)
选项 A.多囊肾 B.肾积水 C.肾囊肿 D.肾肿瘤 E.以上都不是
答案 B
解析

猜你喜欢

发表评论
更多 网友评论0 条评论)
暂无评论

访问排行

Copyright © 2012-2014 恰考网 Inc. 保留所有权利。 Powered by tikuer.com

页面耗时0.0369秒, 内存占用1.03 MB, Cache:redis,访问数据库19次