男性,于晨前起床时阴囊急剧疼痛,超声见睾丸肿大,CDFI:血流信号消失。如图所示,考虑为?(?)A.附睾炎B.睾丸炎C.睾丸扭转D.睾丸肿...

作者: rantiku 人气: - 评论: 0
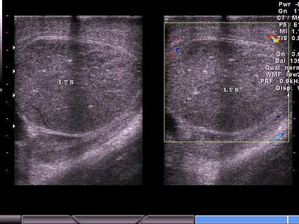
问题 男性,于晨前起床时阴囊急剧疼痛,超声见睾丸肿大,CDFI:血流信号消失。如图所示,考虑为?(?)
选项 A.附睾炎 B.睾丸炎 C.睾丸扭转 D.睾丸肿瘤 E.睾丸结核
答案 C
解析

猜你喜欢

发表评论
更多 网友评论0 条评论)
暂无评论

访问排行

Copyright © 2012-2014 恰考网 Inc. 保留所有权利。 Powered by tikuer.com

页面耗时0.0397秒, 内存占用1.03 MB, Cache:redis,访问数据库19次