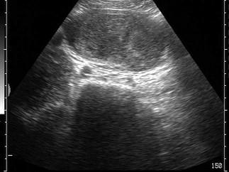
男性,右侧阴囊空虚,左侧可触及,于腹腔见一个椭圆形低回声光团,边界清晰,回声尚均匀,CDFI:血流信号丰富。如图所示,考虑为 ?(?)A.隐睾并精原细...

作者: rantiku 人气: - 评论: 0
问题 男性,右侧阴囊空虚,左侧可触及,于腹腔见一个椭圆形低回声光团,边界清晰,回声尚均匀,CDFI:血流信号丰富。如图所示,考虑为 ?(?)
选项 A.隐睾并精原细胞瘤 B.腹腔囊肿 C.腹腔淋巴结 D.畸胎瘤 E.腹腔淋巴瘤
答案 A
解析

猜你喜欢

发表评论
更多 网友评论0 条评论)
暂无评论

访问排行

Copyright © 2012-2014 恰考网 Inc. 保留所有权利。 Powered by tikuer.com

页面耗时0.0726秒, 内存占用1.03 MB, Cache:redis,访问数据库20次