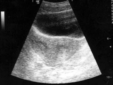
根据超声图像,最可能的诊断是?(?)A.双子宫B.残角子宫C.双角子宫D.纵隔子宫E.以上均是

作者: rantiku 人气: - 评论: 0
问题 根据超声图像,最可能的诊断是?(?)
选项 A.双子宫 B.残角子宫 C.双角子宫 D.纵隔子宫 E.以上均是
答案 D
解析

猜你喜欢

发表评论
更多 网友评论0 条评论)
暂无评论

访问排行

Copyright © 2012-2014 恰考网 Inc. 保留所有权利。 Powered by tikuer.com

页面耗时0.0356秒, 内存占用1.03 MB, Cache:redis,访问数据库19次