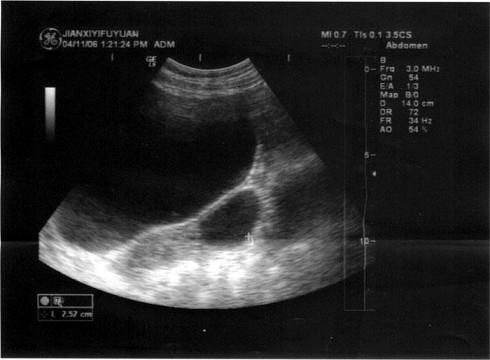
女,25岁,B超检查如图所示,最可能的诊断为?(?)A.左卵巢癌B.左侧输卵管积液C.左卵巢卵泡D.左卵巢囊肿E.扩张的左侧输尿管

作者: rantiku 人气: - 评论: 0
问题 女,25岁,B超检查如图所示,最可能的诊断为?(?)
选项 A.左卵巢癌 B.左侧输卵管积液 C.左卵巢卵泡 D.左卵巢囊肿 E.扩张的左侧输尿管
答案 D
解析

猜你喜欢

发表评论
更多 网友评论0 条评论)
暂无评论

访问排行

Copyright © 2012-2014 恰考网 Inc. 保留所有权利。 Powered by tikuer.com

页面耗时0.0363秒, 内存占用1.03 MB, Cache:redis,访问数据库19次