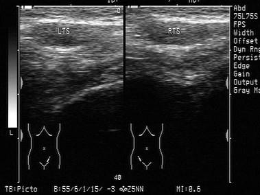
男,11岁,右侧阴囊空虚,左侧睾丸可触及,右侧腹股沟区可探及低回声肿块,如图所示,考虑为?(?)A.隐睾B.淋巴结C.腹股沟疝D.腹股沟肿...

作者: rantiku 人气: - 评论: 0
问题 男,11岁,右侧阴囊空虚,左侧睾丸可触及,右侧腹股沟区可探及低回声肿块,如图所示,考虑为?(?)
选项 A.隐睾 B.淋巴结 C.腹股沟疝 D.腹股沟肿瘤 E.以上都不是
答案 A
解析

猜你喜欢

发表评论
更多 网友评论0 条评论)
暂无评论

访问排行

Copyright © 2012-2014 恰考网 Inc. 保留所有权利。 Powered by tikuer.com

页面耗时0.0441秒, 内存占用1.03 MB, Cache:redis,访问数据库20次